Specimen Name Result Units Range

Blood Hb 100 g/L (130-180)
     R.B.C. 3.2 x1012/L (4.5-6.0)
     P.C.V. 0.44 L/L (0.4-0.5)
     M.C.V. 93 fL (10-15L) (80-98)
     M.C.H.C. 340 g/L (315-355)
Platelets 80 x109/L (150-450)
WCC 0.5 x109/L (4.0-11.0)
     Neutrophils 0.2  (40) x109/L  (%) (1.8-7.5)
     Lymphocytes 0.20  (40) x109/L  (%) (1.0-3.5)
     Bands 0.10  (20) x109/L  (%) (0.2-0.4)

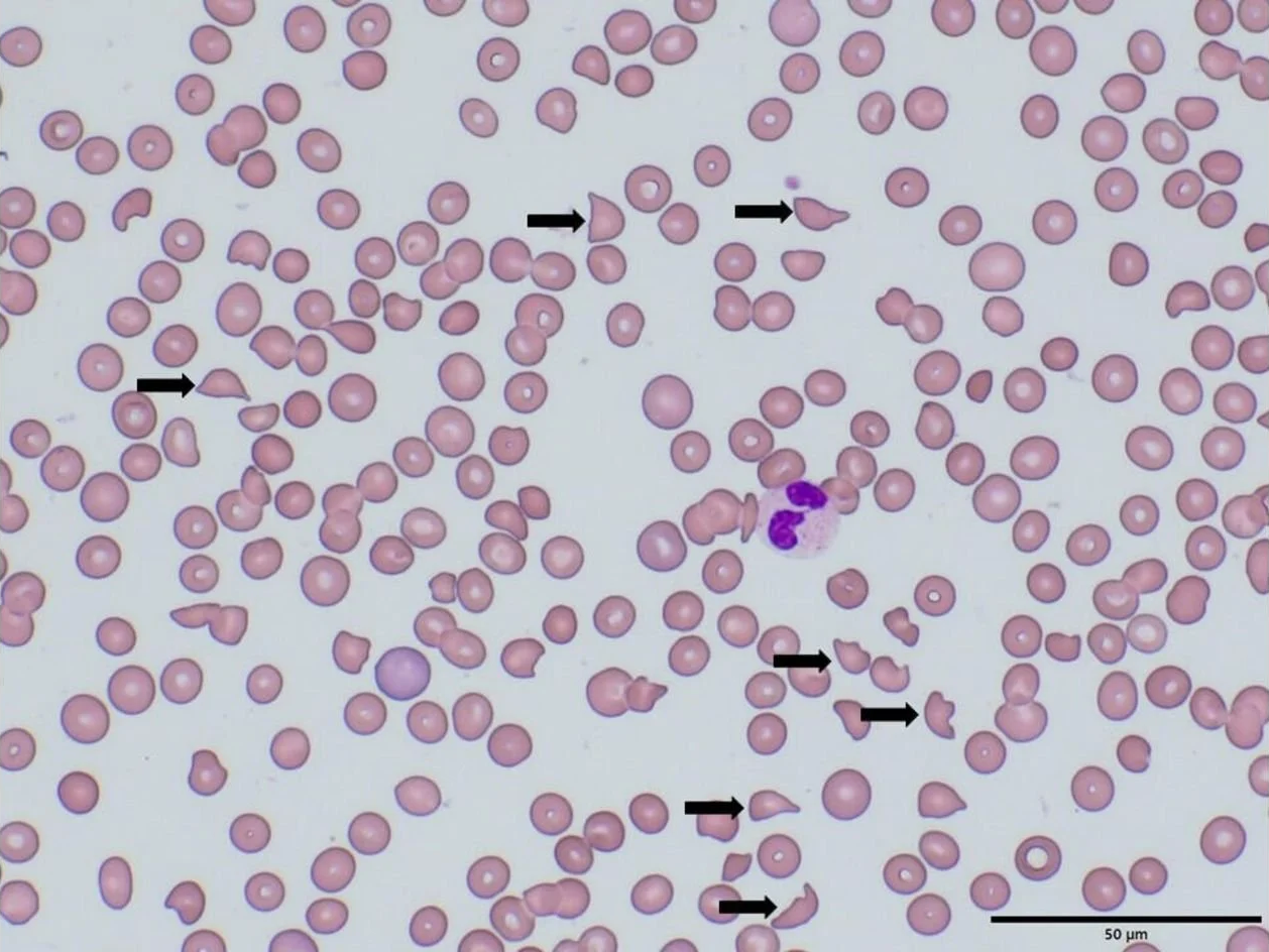
Film: Slight anisocytosis. Moderate poikilocytosis, shistocytes and helmet cells. Occastonal myelocytes and metamyelocytes.


55yo male with recent peritoneovenous shunt insertion.

Pancytopenia & Microangiopathic haemolytic anaemia
  • Microangiopathic haemolytic anaemia:
    • Blood Film - MAHA
    • cause ∝ DIC 2° infected peritoneovenous shunt
    • also seen in TTP/HUS, or any other cause of DIC
    • mechanical destruction, e.g. AV prosthesis
  • Leukoerythroblastic features 2° marrow stress also present.

 

MAHA Aetiology

  1. DIC - any cause:
    • Sepsis
    • Trauma
    • Malignancy
    • Obstetric
    • Other - pancreatitis, hepatic failure, snake-bite, auto-immune/vasculitis, etc.
  2. TTP - HUS
  3. HELLP Syndrome
  4. Drug induced