Specimen Name Result Units Range

Blood Hb 146 g/L (130-180)
     R.B.C. 4.5 x1012/L (4.5-6.0)
     P.C.V. 0.44 L/L (0.4-0.5)
     M.C.V. 98 fL (80-98)
     M.C.H.C. 331 g/L (315-355)
Platelets 978 x109/L (150-450)
WCC 16.7 x109/L (4.0-11.0)
     Neutrophils 12.7  (76) x109/L  (%) (1.8-7.5)
     Lymphocytes 2.20  (13) x109/L  (%) (1.0-3.5)
     Monocytes 1.20  (7.2) x109/L  (%) (0.2-0.8)
     Eosinophils 0.60  (3.6) x109/L  (%) (< 0.5)

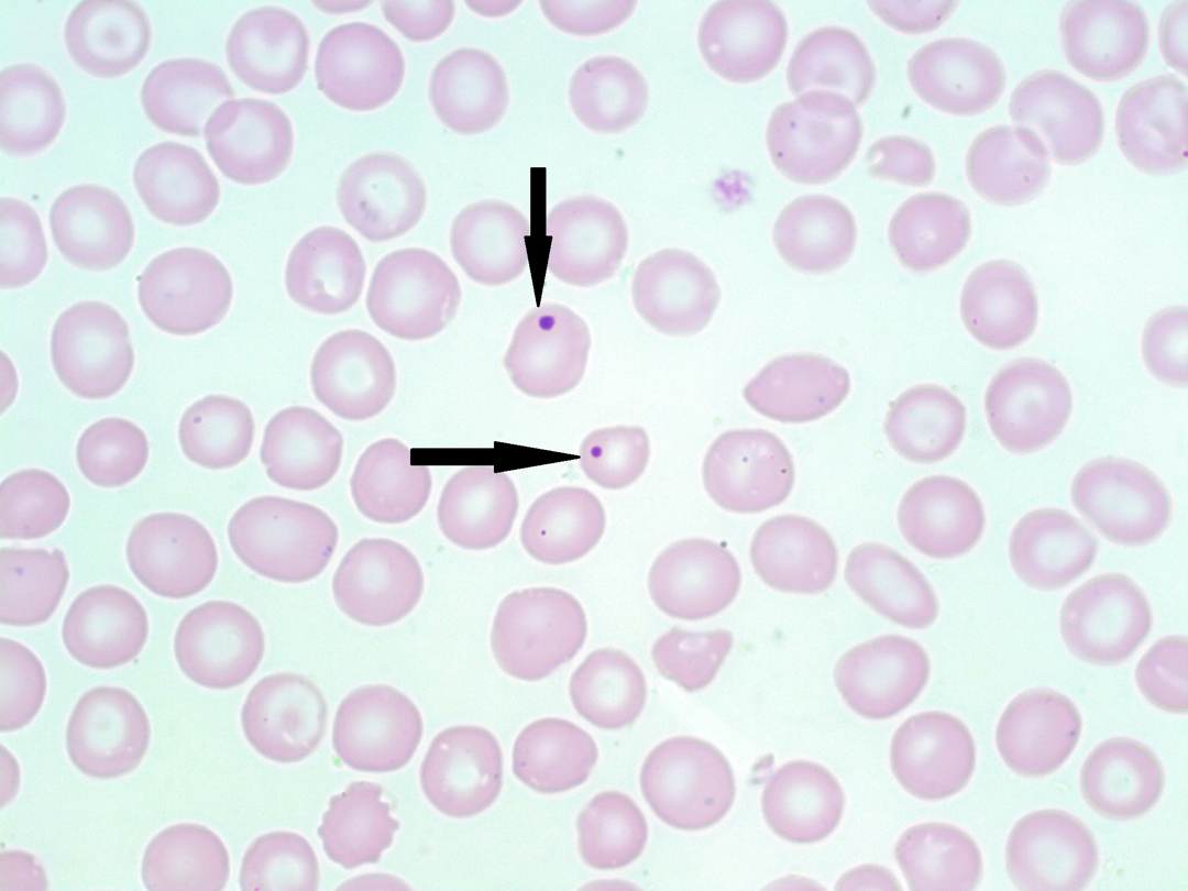
Film: Moderate anisocytosis. Slight poikilocytosis. Occasional target cells. Occasional stomatocytes. Moderate numbers of Howell-Jolly bodies.


48yo male.


Post-Splenectomy Patient
  • Neutrophilia, thrombocytosis and abnormal RBC morphology
  • Howell-Jolly bodies
  • Consistent with post-splenectomy, asplenia, hyposplenism
  • Blood Film