Specimen Name Result Units Range

Plasma Sodium 115 mmol/L (135-145)
Potassium 2.1 mmol/L (3.5-5.5)
Chloride 46 mmol/L (100-109)
Bicarbonate 54 mmol/L (22-32)
Anion Gap 17 mmol/L (7-17)
Urea 33 mmol/L (2.7-7.2)
Creatinine 280 μmol/L (60-110)
Albumin 46 g/L (34-48)
Globulins 41 g/L (22-35)
Total Bilirubin 25 μmol/L (6-24)
GGT 25 U/L (< 60)
ALP 105 U/L (30-110)
ALT 36 U/L (< 55)
AST 58 U/L (< 45)
Amylase 102 U/L (20-100)

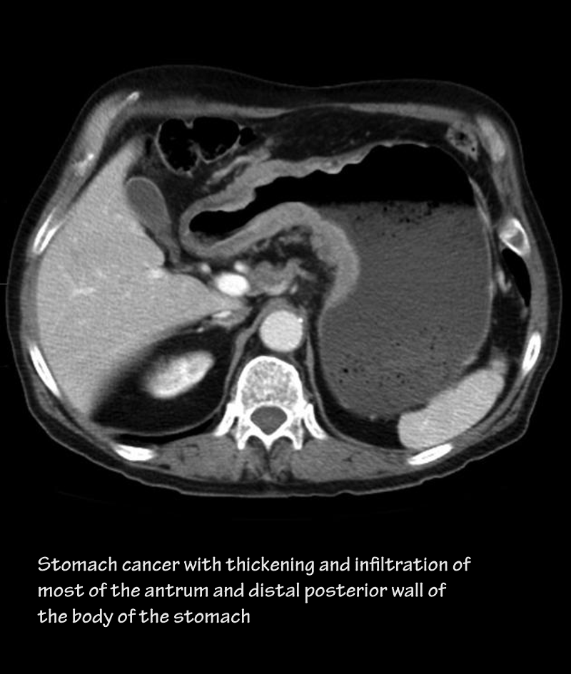
49yo male with abdominal pain and vomiting.

Gastric Outlet Obstruction
  • Severe hyponatraemia
    • ∝ upper GI loss & Na+-deficient replacement
  • Severe hypokalaemia & hypochloraemia metabolic alkalosis
  • Hypovolaemia & pre-renal AKI
  • Patient had carcinoma of stomach (CT)

 

Hypokalaemic Metabolic Alkalosis
Diuretics (esp. loop agents) - low Na+, Cl- / high urea
Mineralocorticoid excess - normal-high Na+, Cl- / normal urea
Vomiting / Gastric outlet obs. - very low Cl- / low-normal Na+ / high urea
Diarrhoea / laxatives - low Cl- / normal Na+ / high urea
Post massive transfusion - citrate metabolism & acidosis correction