Specimen Name Result Units Range

ABG pH 7.46 (7.36-7.44)
PaO2 50 mmHg (70-100)
PaCO2 37 mmHg (35-45)
HCO3- 26 mmol/L (21-26)

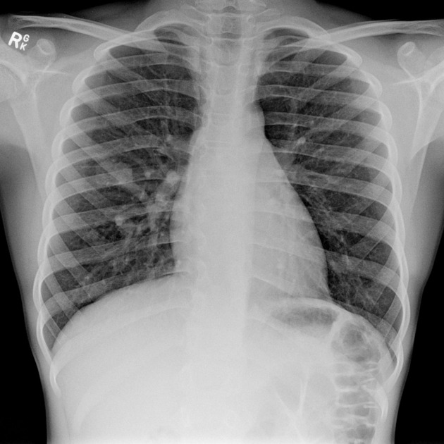
Adult aboriginal male.

Admitted with known brain abscess.


Hypoxaemia & Respiratory Alkalosis

Hereditary Haemorraghic Telangectasia (Osler-Rendu-Webber syndrome):

  • AV malformations in mucous membranes - common
  • AV malformations in lung - rare
    • R→L shunt with hypoxaemia
    • paradoxical emboli → systemic abscesses (esp. brain)
    • bacterial endocarditis
    • CXR → AVMs