Specimen Name Result Units Range

Plasma Sodium 136 mmol/L (135-145)
Potassium 4.5 mmol/L (3.5-5.5)
Chloride 100 mmol/L (100-109)
Bicarbonate 25 mmol/L (22-32)
Anion Gap 16 mmol/L (7-17)
Glucose 9.4 mmol/L (3.8-5.5)
Urea 6.8 mmol/L (2.7-7.2)
Creatinine 90 μmol/L (60-110)
Osmolality 276 mmol/kg (275-295)
Urate 0.81 mmol/L (0.20-0.40)
Phosphate 1.64 mmol/L (0.80-1.45)
Total Calcium 2.01 mmol/L (2.10-2.55)
Ionized Calcium 1.11 mmol/L (1.07-1.27)
Albumin 30 g/L (34-48)
Globulins 26 g/L (22-35)
Total Bilirubin 183 μmol/L (6-24)
GGT 756 U/L (< 60)
ALP 267 U/L (30-110)
ALT 164 U/L (< 55)
LDH 281 U/L (110-230)

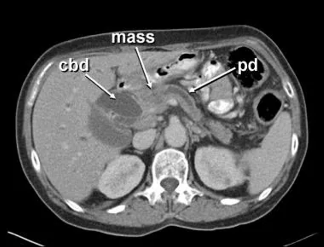
52yo male with abdominal and back pain.


Obstructive Jaundice
  • secondary to pancreatic carcinoma
  • underwent Whipple's procedure
  • note the rise in GGT with obstruction.

 

Predominantly Unconjugated

  1. Overproduction
    • haemolysis
    • reabsorption of haematoma
    • ineffective erythropoeisis
  2. Decreased hepatic uptake
    • sepsis
    • prolonged fasting
    • RV failure
    • drugs - rifampicin, probenecid
  3. Decreased conjugation
    • hepatocellular disease - hepatitis, cirrhosis
    • sepsis
    • drugs - chloramphenicol
    • inherited glucuronyl transferase deficiency
      • Gilbert's syndrome - actually ligandin deficiency
      • Crigler-Najjar - types II & I

Predominantly Conjugated

  1. Biliary obstruction
    • biliary cirrhosis - primary | secondary
    • sclerosing cholangitis
    • extrahepatic obstruction - stone, tumour, stricture
  2. Impaired hepatic excretion
    • sepsis
    • post-operative state
    • hepatocellular disease
      • hepatitis - viral, ischaemic, drug-induced
      • cirrhosis
    • drug-induced cholestasis - OCP, methyltestosterone
    • inherited disorders
      • Dubin-Johnson, Rotor syndrome
      • benign familial cholestasis
    • cholestasis of pregnancy