Specimen Name Result Units Range

Plasma Sodium 136 mmol/L (135-145)
Potassium 6.7 mmol/L (3.5-5.5)
Chloride 100 mmol/L (100-109)
Bicarbonate 27 mmol/L (22-32)
Glucose 7.8 mmol/L (3.8-5.5)
Urea 5.0 mmol/L (2.7-7.2)
Creatinine 90 μmol/L (60-110)
Osmolality 288 mmol/kg (275-295)
Albumin 33 g/L (34-48)
Total Protein 82 g/L (60-80)

Blood Hb 101 g/L (130-180)
Platelets 960 x109/L (150-450)
WCC 35 x109/L (4.0-11.0)

Urine Sodium 20 mmol/L (> 20)
Chloride 40 mmol/L
Osmolality 510 mmol/kg

Patient with known pulmonary TB

Pseudo-Hyperkalaemia - Thrombocytosis
  • Actual [K+] = 4.2 mmol/L
  • Addison's less likely ∝ BGL, Creat/Urea

 

Causes of Factitious Hyperkalaemia

  • Delayed sample
  • Haemolysis
  • Thrombocytosis
  • Leukocytosis
  • Drip-arm sample : IVT + KCl
  • K+-EDTA tube
  • Wrong patient sample

 

Addison's 2° disseminated TB adrenal destruction possible: Na+:K+ < 25:1

  • but would also expect:
    • pre-renal AKI
    • hypo-osmolality
    • hypoglycaemia
    • metabolic acidosis (mild ↑AG)
    • low urinary K+

 

Lab Findings in Disseminated TB:

  • U&E : hyponatraemia, SIADH
  • LFT : high ALP
  • FBE:
    • anaemia : normochromic-normocytic in 60%
    • high ESR : 90% (>100 in 30%)
    • WCC often normal ± neutrophilia
    • lymphopenia, pancytopenia
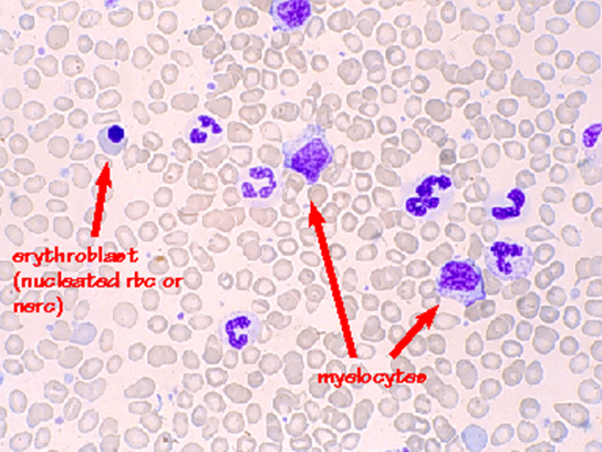
    • leuko-erythroblastic film / leukaemoid transformation
  • Coags : rarely DIC