Specimen Name Result Units Range

Plasma Sodium 142 mmol/L (135-145)
Potassium 3.0 mmol/L (3.5-5.5)
Chloride 92 mmol/L (100-109)
Bicarbonate 18 mmol/L (22-32)
Glucose 12.5 mmol/L (3.8-5.5)
Urea 10.0 mmol/L (2.7-7.2)
Creatinine 140 μmol/L (60-110)
Osmolality 300 mmol/kg (275-295)
Phosphate 1.22 mmol/L (0.80-1.45)
Magnesium 0.70 mmol/L (0.70-0.95)
Total Calcium 1.88 mmol/L (2.10-2.55)
Albumin 47 g/L (34-48)
Total Protein 70 g/L (60-80)
Total Bilirubin 32 μmol/L (6-24)
ALP 75 U/L (30-110)
Amylase 12,000 U/L (20-100)

ABG pH 7.20 (7.36-7.44)
PaO2 52 mmHg (70-100)
PaCO2 40 mmHg (35-45)
HCO3- 17 mmol/L (21-26)

51yo female with abdominal pain.

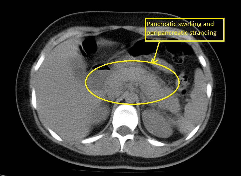
Acute Pancreatitis
  • mixed metabolic (↑AG) & respiratory acidosis
  • hypocalcaemia & hypokalaemia
  • mild pre-renal AKI
  • CT Abdomen

Hypocalcaemia : common, often transient, rarely symptomatic:

  • Ca++ soaps formed in pancreas
  • hypomagnesaemia
  • PTH resistance
  • hypoparathyroidism
  • transient early glucagon release

Other common features:

  • high amylase/lipase, glucose, bilirubin, urea, creatinine
  • high AG metabolic acidosis
  • ABGs : hypoxaemia & acidosis
  • low Ca++, Mg++, K+, HCO3-

 

Aetiology:

  1. Ethanol*
  2. Gallstones* : → {1+2} ≈ 85%
  3. Idiopathic ≈ 7%
  4. Traumatic
  5. Familial / hereditary
  6. Cystic fibrosis
  7. SIRS, ARDS, MODS → ?ischaemic pancreatitis
  8. Metabolic
    • hyperlipidaemia
    • hyperparathyroidism, hypercalcaemia
    • renal failure
    • acute fatty liver of pregnancy
    • haemochromatosis
  9. Infections
    • viral hepatitis, mumps
    • Coxsackie, Echovirus and other viruses
    • Mycoplasma, Ascariasis
  10. Autoimmune → "pancreatic vasculitis"
    • SLE, TTP, necrotising vasculitis
  11. Drugs
    • thiazides, frusemide, valproate
    • vit D, oestrogens
    • sulphonamides, tetracyclines, azathioprine
    • possible associations : steroids, methyl-dopa, procainamide, chlorthalidone, ethacrynic acid, β-blockers, cimetidine, clonidine, rifampicin, phenformin, paracetamol
  12. Toxins
    • methanol
    • scorpion envenomation
    • organophosphate poisoning
  13. Renal transplant
    • surgery
    • hypercalcaemia, steroids (?), diuretics
    • viral infections, immunosuppressives
  14. GIT disease
    • duodenal ulcer, penetration / perforation
    • Crohn's disease
    • obstruction of the Ampulla of Vater
    • pancreas divisum