Specimen Name Result Units Range

Plasma Sodium 131 mmol/L (135-145)
Potassium 5.1 mmol/L (3.5-5.5)
Chloride 103 mmol/L (100-109)
Bicarbonate 19 mmol/L (22-32)
Glucose 6.9 mmol/L (3.8-5.5)
Urea 25 mmol/L (2.7-7.2)
Creatinine 450 μmol/L (60-110)
Phosphate 1.80 mmol/L (0.80-1.45)
Total Calcium 1.93 mmol/L (2.10-2.55)
Albumin 27 g/L (34-48)
Total Protein 48 g/L (60-80)
Total Bilirubin 19 μmol/L (6-24)
ALP 85 U/L (30-110)
CK 3,330 U/L (< 200)
CK-MB 2,785 U/L (< 15)

Blood Hb 93 g/L (130-180)
Platelets 50 x109/L (150-450)
WCC 25.0 x109/L (4.0-11.0)
INR 1.1 (0.8-1.2)
APTT 29 Sec. (25-35)
Fibrinogen 2.50 g/L (1.5-4.0)
D-Dimer 160 mg/L (< 0.5)
D-Dimer 16 mg/L (< 0.5)

ABG pH 7.40 (7.36-7.44)
PaO2 90 mmHg (70-100)
PaCO2 33 mmHg (35-45)
HCO3- 21 mmol/L (21-26)

23yo female following large PPH.

Oliguric for 2 days.


Haemolytic-Uraemic Syndrome (TTP)

Known associations:

  1. infection, septicaemia
    • children - especially Shigella sp., Salmonella
    • adults
      • enterohaemorrhagic E. coli
      • VTEC 0157:H7 produces vero-cytotoxin
      • pneumococcal infection
    • viruses - Coxsackie, echoviruses
  2. drugs - OCP, cisplatin, mitomicin C, cyclosporin A
  3. malignant hypertension
  4. pregnancy
  5. radiation
  6. autoimmune disorders - SLE, scleroderma

Clinical Features

  • fever
  • nausea, vomiting, diarrhoea, abdominal pain
  • arthralgia
  • bleeding, petechiae
  • renal failure & uraemia
  • jaundice
  • rarely hepato/splenomegaly
  • cerebrovascular events - especially in TTP

Laboratory Findings:

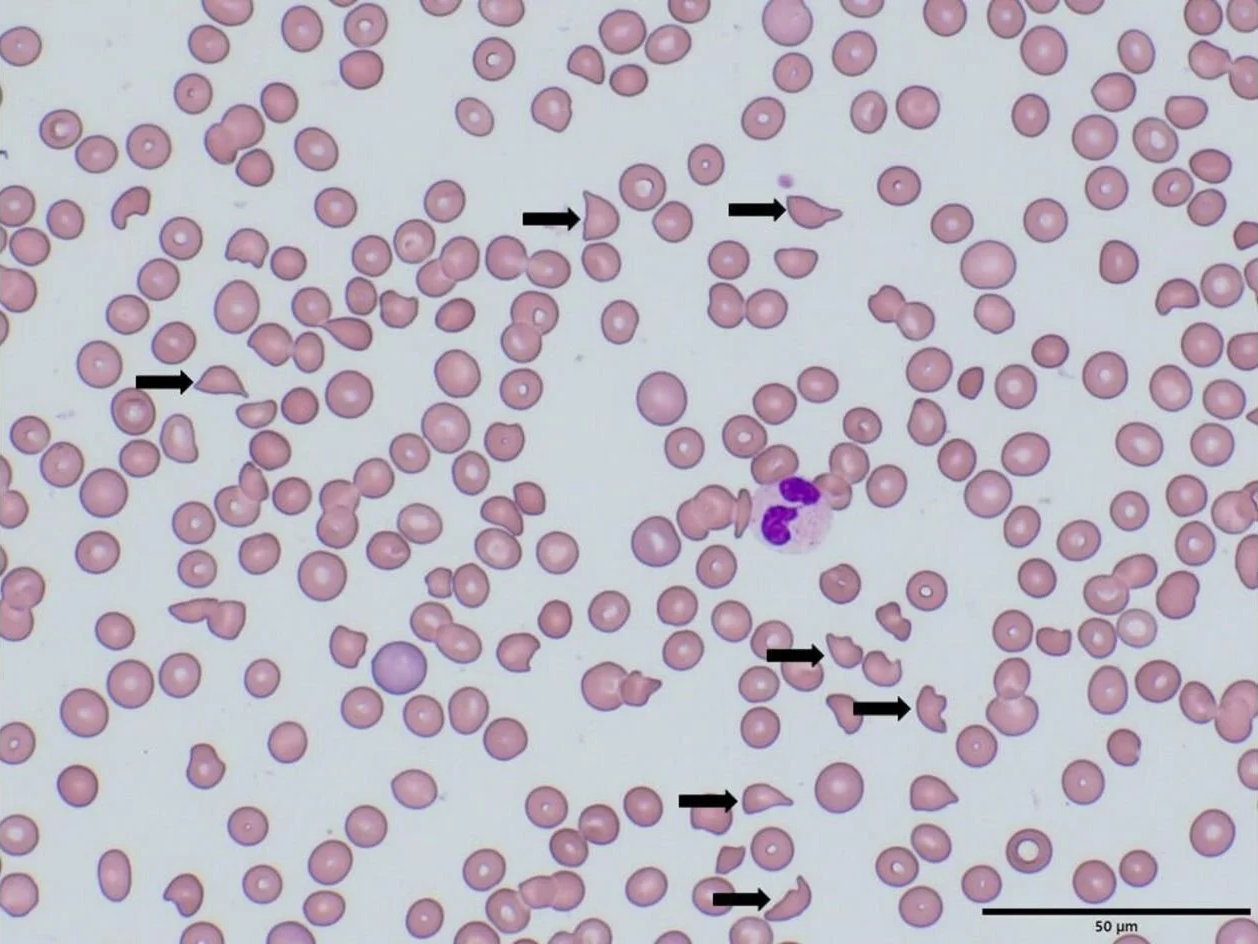
  1. Microangiopathic haemolytic anaemia
    • anaemia, fragmented rbc's, reticulocytosis, e.g. Film
    • thrombocytopenia
    • low haptoglobin, high haemopexin
    • haemalbumin present
  2. Normal coagulation profile - c.f. DIC
    (isolated deficiencies may occur)
  3. Hyperbilirubinaemia / raised LDH
  4. ANA ≈ 20% +'ve
  5. Biopsy → characteristic vascular changes skin, mucous membranes, gingiva, renal